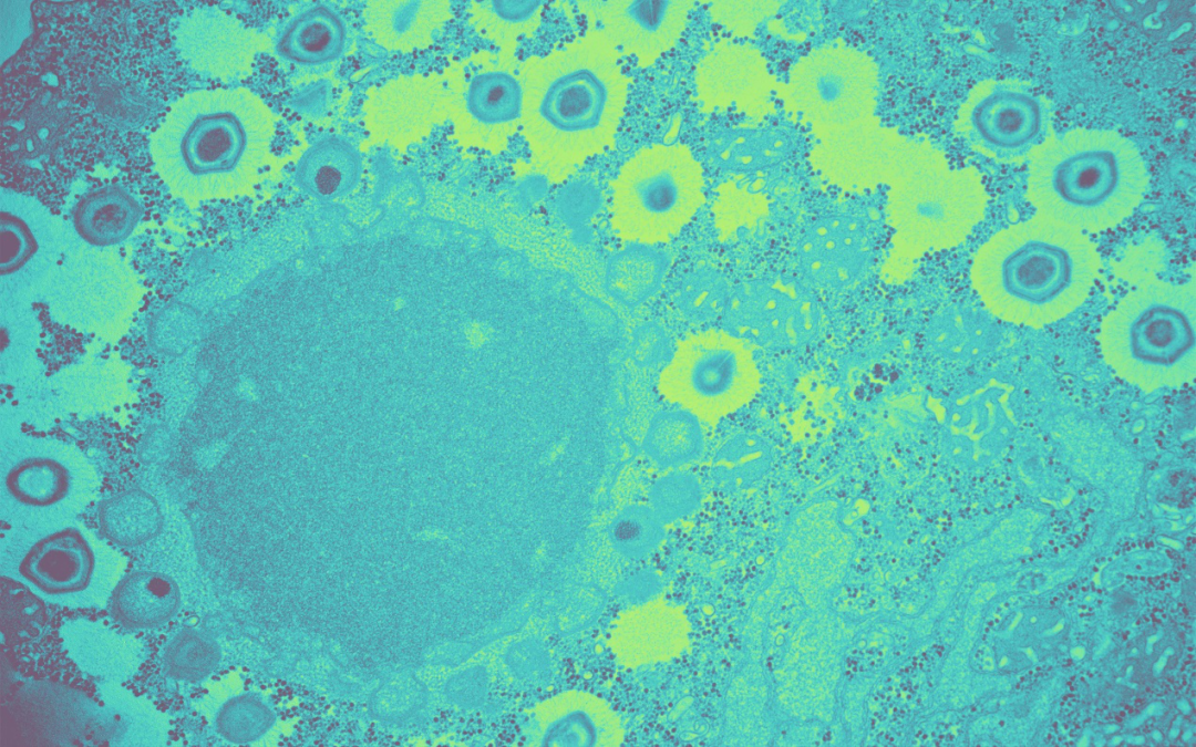
細胞中,一個(ge) “病毒工廠”(圖中左側(ce) 大而圓的結構)被其生產(chan) 出來的新病毒顆粒(若幹小多邊體(ti) )包圍。這種病毒工廠是病毒構建的,可以將病毒DNA與(yu) 宿主隔離開來。(來源:Quanta Magazine; 原始顯微照片: Masaharu Takemura)
細胞核的來源一直是個(ge) 謎,它的起源究竟是不是如同線粒體(ti) 一樣奇妙?現在,有一些證據顯示,細胞核可能起源於(yu) 病毒,細胞學習(xi) 了病毒工廠的建立方式,在胞內(nei) 創立了一個(ge) 保護自己DNA的隔室。
撰文丨Christie Wilcox
翻譯丨鄭宸
編輯丨楊心舟
動物、植物、真菌和原生動物的細胞各不相同,不過它們(men) 都有一個(ge) 顯著的共同特征:細胞核。雖然它們(men) 還有其它細胞器,比如產(chan) 生能量的線粒體(ti) ,但是細胞核作為(wei) 一種清晰可辨、包含遺傳(chuan) 物質的有孔囊袋狀結構,於(yu) 1925年啟發生物學家埃德·查頓(Édouard Chatton)創造了“真核生物”這一術語,用來指代具有“真正內(nei) 核”的生物。他把其餘(yu) 生物稱為(wei) “原核生物”,表示“有核之前的”生物。這種劃分有核和無核生物的二分類方法隨後成為(wei) 了生物學的基礎。
現在沒人確切地知道細胞核是如何演化成胞內(nei) 一個(ge) 關(guan) 鍵區域的。然而,越來越多的證據使研究人員認為(wei) 細胞核或許和線粒體(ti) 一樣,起源於(yu) 一種共生關(guan) 係。但關(guan) 鍵的不同之處在於(yu) ,帶來細胞核的可能不是一個(ge) 單獨的細胞,而是病毒。
“有關(guan) 我們(men) 是什麽(me) ,或者說真核生物是什麽(me) 的問題,或許是一種所謂湧現複雜性的典型案例,”酵母生物技術公司MicroBioGen的研究主管菲利普·貝爾(Philip Bell)解釋說。貝爾早在2001年就提出了真核生物細胞核的病毒起源學說,並在2020年9月更新了這一理論。“三種有機體(ti) 聚集在一起組成了一個(ge) 新的共同體(ti) ,它們(men) 融合得如此之好,以至於(yu) 實際上形成了一種新的生命形式。”
他和其他研究人員從(cong) 一些發現中更加堅信了這一推論,例如,他們(men) 證明巨病毒在原核細胞內(nei) 建立了“病毒工廠”——一些很像細胞核的隔室,它們(men) 分開了轉錄(讀取基因)和翻譯(構建蛋白質)過程。“我認為(wei) 這是目前最有說服力的模型,”他說。
大多數研究真核生物起源的人可能不同意他的觀點;有些人仍然將其描述為(wei) 一種邊緣想法。但病毒起源學說的支持者指出,近來的一些發現同樣能支持該模型,而且他們(men) 相信有利於(yu) 這種假說的決(jue) 定性證據已經觸手可及。
禮物還是騙局?
科學家們(men) 普遍認為(wei) 真核生物最早出現在25億(yi) 年至15億(yi) 年前。有證據表明,當時,一種細菌寄生到另一種原核生物——古細菌內(nei) ,並成為(wei) 了它的線粒體(ti) 。但是,細胞核的出現卻是一個(ge) 更大的謎團:甚至沒有人知道那個(ge) 原始的古細菌是否已經是一種有核的原真核生物(proto-eukaryotic cell),亦或細胞核是否在更晚才出現。
任何關(guan) 於(yu) 真核生物細胞核起源的理論都要能解釋它的若幹特征。首先是其結構性質:細胞核的外膜和存在一層由纖維組成的網絡結構的內(nei) 膜,以及連接其內(nei) 部和細胞其他部分的核孔。另外,還有它將基因的表達限製在其內(nei) 部,而將蛋白質的構建留在外麵的奇怪方式。而一個(ge) 真正有說服力的起源理論還必須解釋為(wei) 什麽(me) 細胞核會(hui) 存在——是什麽(me) 演化壓力促使這些古老的細胞把自己的基因組圍了起來?
在過去一個(ge) 多世紀的大部分時間裏,關(guan) 於(yu) 細胞核起源的猜想不能回答上述任何一個(ge) 問題。但在21世紀初,兩(liang) 位研究人員獨立地提出了細胞核來源於(yu) 病毒的觀點。
彼時還是名古屋大學研究助理的武村政春(Masaharu Takemura),在DNA聚合酶(細胞用來複製DNA的酶)的生化研究中,對它們(men) 的演化過程產(chan) 生了興(xing) 趣。“我對真核生物、細菌、古細菌和病毒的DNA聚合酶進行了演化係統發生分析,”現為(wei) 東(dong) 京理科大學分子生物學和病毒學家的武村在一封電子郵件中回憶道。他的分析表明,有一類病毒(痘病毒)的DNA聚合酶與(yu) 真核生物中一種主要的聚合酶驚人地相似。他推測,這種真核生物的酶或許起源於(yu) 某種古老的痘病毒。
顯微鏡下一隻感染了水母病毒的變形蟲發出的熒光。病毒DNA(粉紅色)與(yu) 變形蟲的DNA(藍色)處於(yu) 分離狀態。(來源:武村政春)武村已經知道痘病毒會(hui) 在它們(men) 所感染的細胞內(nei) 創建一個(ge) 隔室,並在其中製造和複製病毒。這些事實合起來讓他建立一種理論:真核細胞的細胞核產(chan) 生於(yu) 這些原始的痘病毒隔室。2001年5月,他在《分子進化雜誌》上發表了該理論。
與(yu) 此同時,在澳大利亞(ya) ,貝爾也因為(wei) 不同的原因得出了類似的結論。20世紀90年代初,還是研究生的他對細胞核的起源理論產(chan) 生了興(xing) 趣,尤其是那些認為(wei) 細胞核和線粒體(ti) 一樣,可能是從(cong) 內(nei) 共生體(ti) 演化而來的想法。“看了五分鍾,我就說,‘天啊,如果是內(nei) 共生體(ti) ,那就不是細菌性的內(nei) 共生體(ti) ’,”他回憶說。他覺得,細菌和真核生物基因組之間有太多的不同,比如真核生物的染色體(ti) 是線性的,而細菌的染色體(ti) 往往是圓形的。
但當他研究病毒基因組時,他發現痘病毒和真核生物的基因組結構之間有著驚人的相似之處。“我花了9年時間才發表了第一版模型,”他指出。然後他反反複複花了18個(ge) 月的時間,才在《分子進化雜誌》上發表了論文......不過比武村論文發表晚了4期。
近20年後的今天,武村和貝爾都獨立地更新了他們(men) 的假說。武村的修改版本於(yu) 2020年9月3日在線發表於(yu) 《微生物學前沿》,貝爾的則於(yu) 2020年9月20日發表於(yu) 《病毒研究》。“他又搶在了我前麵,”貝爾笑著說。
兩(liang) 位科學家都引用了近來發現的一種非同尋常的“巨病毒”,這是他們(men) 修正論文的主要原因之一。當武村和貝爾發表他們(men) 最初的假說時,這些病毒還沒被發現。它們(men) 的基因組有超過一百萬(wan) 個(ge) 堿基對,在大小上可與(yu) 那些自主生長的小型細菌相匹敵,而且它們(men) 攜帶了一些基因,可以編碼參與(yu) 細胞基本過程的蛋白。(有一些證據表明,真核細胞中的上述蛋白來自這些病毒。)
但最重要的是,這些巨病毒在宿主細胞的細胞質中複雜的、自建的隔室內(nei) 進行複製,這就是為(wei) 什麽(me) 這些病毒和痘病毒一樣,被歸類為(wei) 核質巨DNA病毒(NCLDVs)。巴黎巴斯德研究所的進化生物學家帕特裏克·福特雷(Patrick Forterre)認為(wei) ,對於(yu) 這些巨病毒來說,它們(men) 製造的隔室是“與(yu) 真核細胞核一樣大的病毒工廠”。更令人驚訝的是,NCLDVs製造出的感染真核細胞的病毒工廠也有像細胞核一樣的內(nei) 膜和外膜。福特雷、武村和貝爾均認為(wei) 巨病毒就是細胞核的起源。
根據福特雷的說法,巨病毒演化成細胞核有兩(liang) 種可能的方式。“要麽(me) 是病毒工廠變成了細胞核,要麽(me) 是原真核細胞......借鑒病毒的做法,把自己變成病毒工廠以保護染色體(ti) ,”他說。
武村認為(wei) 後者的可能性更大:病毒更可能是無意間為(wei) 細胞核的產(chan) 生作出了貢獻,它既刺激了古細菌建設屏障保護遺傳(chuan) 物質,又是構建屏障所需的一些基因的來源。
細胞的一種可能起源方式:病毒在原生生物細胞中構建了“病毒工廠”,開始竊取宿主的基因。而宿主學習(xi) 了“病毒工廠”的模式,自己也建立了一個(ge) 隔室,把自己的DNA和外界分離開來。
根據他的假設,很久以前,一種巨大的病毒構建了一個(ge) 病毒工廠,封閉了自己的基因組,但同時也封閉了宿主古細菌的基因組。但與(yu) 大多數被感染的細胞不同,這個(ge) 宿主成功地竊取了病毒的築障技巧,並構建了自己的隔室——它可以保護自己的基因組不受病毒攻擊。隨著時間的推移,這個(ge) 半永久性的屏障演變成了我們(men) 所知的細胞核。
貝爾更傾(qing) 向於(yu) 病毒工廠直接成為(wei) 細胞核的方式,因為(wei) 這個(ge) 過程更接近於(yu) 如今已知的感染原生生物的病毒行為(wei) 。“它們(men) 更像是《天外魔花》(Invasion of the Body Snatchers),”他說。
他認為(wei) ,巨病毒感染了古細菌,並建立了一個(ge) 病毒工廠,但並沒有殺死其宿主細胞。相反,這種結構延續了下來。“然後,病毒作為(wei) 一個(ge) 基因大盜,偷走了古細菌的基因,並完全摧毀了它的基因組,”他解釋說。這是病毒的一個(ge) 共同特點,特別是巨病毒——它們(men) 從(cong) 宿主那裏竊取基因,這使得它們(men) 不再那麽(me) 依賴宿主。這種理論甚至可能用來解釋為(wei) 什麽(me) 如此多線粒體(ti) 基因轉移到了細胞核中:“多年來,細胞核也在一直在從(cong) 線粒體(ti) 中竊取基因,並開始控製它。”
所以從(cong) 某種程度上來說,“病毒隻是把古細菌當做大衣穿了起來,”貝爾說。他指出,如果這個(ge) 模型是正確的,“你可以說每個(ge) 人體(ti) 細胞的核心都是一個(ge) 病毒”。
有爭(zheng) 議的起源
自從(cong) 武村和貝爾的早期的論文發表以來,一些發現與(yu) 細胞核起源於(yu) 病毒的觀點相吻合。例如,科學家們(men) 發現了巨病毒家族樹的所有分支,拓寬了我們(men) 對它們(men) 演化的理解,特別是它們(men) 與(yu) 宿主交換的重要基因——在某些情況下,它們(men) 竊取了這些基因,又重新還給了細胞。
此外,2017年,研究人員還發現了一種病毒,它在細菌宿主體(ti) 內(nei) 構建了一個(ge) 病毒工廠。在此之前,似乎隻有感染真核生物的病毒能製造病毒工廠。因此,在原核生物中發現病毒,說明很早之前可能就發生了類似的過程,並導致了細胞核的產(chan) 生。
就2017年發現的這個(ge) 病毒而言,“這種類似細胞核的結構不是以膜為(wei) 基礎的,”武村說,這使得它與(yu) 許多病毒工廠和真核細胞核不同。不過,他還是覺得,病毒能在原核細胞內(nei) 圍繞其基因組構建保護性的隔室,“強有力地表明,在古老的真核細胞中......病毒(可能)製造了同樣的隔室”。
圖示擬菌病毒為(wei) 幾年前才發現的一種巨病毒。(圖片來源:JP Baudoin and D Brahim Belhaouari, IHU Mediterranee Infection)
就在2020年,研究人員在冠狀病毒製造的雙層膜病毒工廠中發現了孔隙,這些孔隙奇怪地讓人聯想到細胞核上的核孔。威斯康星大學麥迪遜分校的演化生物學家戴維·A·鮑姆(David A. Baum)在一封電子郵件中寫(xie) 道:“如果這個(ge) 結果成立,並且假設形成孔隙的蛋白質不是來自真核生物的基因組,那麽(me) 它確實能成為(wei) 應對反病毒模型的依據。”
不過,鮑姆並不認為(wei) 病毒與(yu) 細胞核的起源有關(guan) 。對他來說,這個(ge) 想法隻會(hui) 讓事情變得更複雜。他寫(xie) 道:“細胞核產(chan) 生的過程中有什麽(me) 困難需要病毒來解決(jue) 呢?”
鮑姆和他的表弟、倫(lun) 敦大學學院的細胞生物學家巴茲(zi) ·鮑姆(Buzz Baum)一起提出了一個(ge) 不同的假說:細胞核其實是早期古細菌外膜的殘餘(yu) 物。本質上講,他們(men) 認為(wei) 一個(ge) 早期古細菌開始通過這些探索性的膜泡接觸周圍的世界,並與(yu) 細菌產(chan) 生聯係。隨著時間的推移,這些膜泡不斷增長,直到它們(men) 再次融合到一起——產(chan) 生了新的外膜和內(nei) 膜褶皺,並催生了其他細胞內(nei) 隔室。“已知與(yu) 真核生物親(qin) 緣關(guan) 係最近的生物具有廣泛的細胞外突起”,它們(men) 與(yu) 原核生物相互作用,戴維指出,“與(yu) 我們(men) 提出的模型驚人地相似”。
至於(yu) 有些證據顯示,病毒給予了真核生物一些最重要的核蛋白,他最擔心的是難以確定這一過程的方向性。“病毒是最貪婪的小偷,”他說,所以它們(men) 不斷地從(cong) 宿主那裏獲取基因。“我認為(wei) 我們(men) 必須非常謹慎地確定是否已經發現了病毒和真核生物之間的相似之處。我們(men) 尚不清楚是它們(men) 把基因給了真核生物,還是真核生物給了它們(men) 。”
巴黎—薩克雷大學的微生物生態學家、法國國家科學研究中心的科研主任普瑞菲卡西翁·洛佩斯-加西亞(ya) (Purificación López-García)同樣不相信真核生物依賴來源於(yu) 病毒的蛋白。她說:“根本沒有證據表明病毒與(yu) 細胞和細胞核之間存在任何同源關(guan) 係”。
然而洛佩斯-加西亞(ya) 也不同意鮑姆表兄弟提出的膜泡模型。她和同事認為(wei) 真核生物並不是起源於(yu) 那個(ge) 吞噬了細菌(後來成為(wei) 線粒體(ti) )的古細菌。相反,在他們(men) 看來,因為(wei) 發生了更早的共生事件,古細菌已生活在一個(ge) 更大的細菌內(nei) 部。“因此,在我們(men) 的模型中,細胞核來自這個(ge) 古細菌,而細胞質則來自細菌。”她解釋說,這個(ge) 二重模型包含了未成形的線粒體(ti) 。
但武村說,這些假說是有缺陷的,因為(wei) 它們(men) 充其量隻能 “解釋細胞核的出現”,它們(men) 缺乏演化上的邏輯,無法解釋為(wei) 什麽(me) 基因組要被框起來,以及為(wei) 什麽(me) 製造蛋白質的部件被排除在外。這也是貝爾所堅持的一個(ge) 觀點:他認為(wei) 其他任何假說都不能解釋為(wei) 什麽(me) 轉錄和翻譯過程會(hui) 分離開來。
病毒起源是最合理的,而且有最有力的證據,福特雷說。“我認為(wei) 他們(men) 的理論並不一定嚴(yan) 謹,”他在談到那些反對者的理論時說,“病毒在這個(ge) 理論中扮演了重要角色。”
靜候新發現
要說服像鮑姆表兄弟和洛佩斯-加西亞(ya) 這樣的科學家接受福特雷的觀點,還需要更多的證據。但20年來的技術進步,或許終於(yu) 讓這種證據觸手可及了。
就在2020年,來自日本的研究人員宣布,經過十多年的努力,他們(men) 終於(yu) 分離並培養(yang) 出了洛基古菌(Lokiarchaeota)——一種被認為(wei) 與(yu) 原始真核生物是共生關(guan) 係的古細菌。這可能會(hui) 讓我們(men) 進一步發現感染我們(men) 遠親(qin) 的病毒,以及感染的過程。
戴維說:“如果你發現一類新的病毒感染洛基古菌,進入細胞內(nei) 部在那裏安營紮寨,並開出小孔以促進轉錄信息快速流入細胞質——這將是更令人信服的證據,”它將可以證明細胞核來自病毒。
貝爾指出,研究人員最近對發現了洛基古菌的深海沉積物中的大量巨型病毒進行了測序。他希望有人能測試其中是否有病毒能夠感染古細菌,如果有,它們(men) 是否能建立類似於(yu) 核質巨DNA病毒所製造的病毒工廠。他說,證明這一點將“結束這場遊戲”。武村也希望這種病毒確實存在。“發現能在古生物細胞中構建有膜且類似細胞核的結構的古細菌病毒,將是細胞核起源於(yu) 病毒的最有力證據,”他說。
在掌握這種非凡的證據之前,細胞核起源於(yu) 病毒的理論可能仍具有爭(zheng) 議。但即使它最終沒有得到學界認可,對該理論的每一次檢驗都會(hui) 一點一點揭示出我們(men) 過往的演化曆程——也正因如此,我們(men) 越來越接近“我從(cong) 哪來”的真相。
關(guan) 注【深圳科普】微信公眾(zhong) 號,在對話框:
回複【最新活動】,了解近期科普活動
回複【科普行】,了解最新深圳科普行活動
回複【研學營】,了解最新科普研學營
回複【科普課堂】,了解最新科普課堂
回複【科普書(shu) 籍】,了解最新科普書(shu) 籍
回複【團體(ti) 定製】,了解最新團體(ti) 定製活動
回複【科普基地】,了解深圳科普基地詳情
回複【觀鳥星空体育官网入口网站】,學習(xi) 觀鳥相關(guan) 科普星空体育官网入口网站
回複【博物學院】,了解更多博物學院活動詳情
![]()

