話說,X光的發明為(wei) 我們(men) 的生活帶來了諸多便利,
無論是醫療檢查,還是交通安全,都少不了它的身影,在檢測藝術品上,X光也發揮了極大的用途。
不過,你有沒有想象過,如果給花朵,玩偶,還有那些不太常見的動物也拍一張X光照,會(hui) 是什麽(me) 樣的呢?
一起來看看吧.....
我室友是學放射學的,今天他拿家裏的花去練了練手
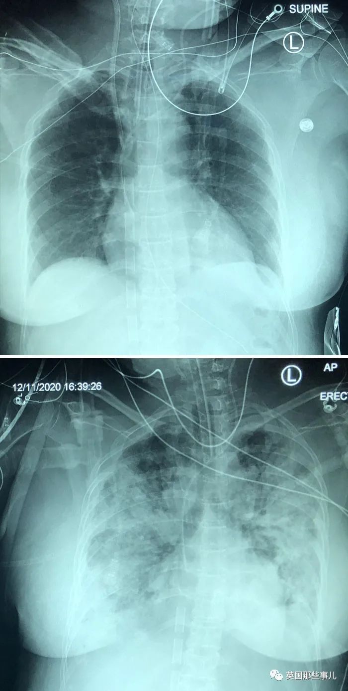
感染新冠肺炎五天後
給埃及石棺做X光,發現裏麵住著一隻小貓咪
這幅畫的主題是青年時期的西班牙國王卡洛斯二世,
不過X光告訴我們(men) ,畫家早在他還是小卡洛斯的時候就為(wei) 他畫過畫像
我妻子是芭蕾舞演員,這是她立起腳尖時的X光片
有著身孕的狗狗
肚子裏裝滿崽崽的喵喵
幾維鳥和它的寶寶
猜猜誰要當媽媽啦?
我們(men) 這醫院放射科等候大廳的裝飾畫,都帶著一股濃濃的X光味兒(er) ~
檢測員會(hui) 使用一種叫“反向散射X射線”的技術來識別卡車中是否裝載有違禁品,
第三輛車發現異常,標記出來進行進一步的檢查。
我女兒(er) 害怕自己做X光檢測,要求小豬佩奇必須陪著她
我被診斷出患有一種叫“顱骨鎖骨發育不全綜合症”的罕見病,
今天頭一次做X光,發現我的牙齒比別人多了好多.....
患有脊柱側(ce) 彎的人,手術前後的對比
給魟魚拍X光
魟魚,就是這個(ge) 家夥(huo) :
雙髻鯊的X光照片
雙髻鯊,又叫錘頭鯊,頭特別大
前方預警!!!
澳洲假吸血蝙蝠
實物要萌上一丟(diu) 丟(diu) ....
狗狗在做X光時動了一下,於(yu) 是它變成了冥界之王阿努比斯
阿努比斯本尊:
腎髒上長了腫瘤的蛇
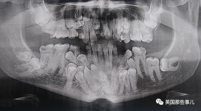
我已經做了10多年牙醫,但6-12歲孩子的口腔X光,還是那麽(me) 讓我著迷.....
患有晚期類風濕關(guan) 節炎的手掌
穿著恨天高的jio
哎呀,看著就很糟糕....
海馬的X光
醫生在我爸爸的脖子裏植入了一個(ge) 裝置,裏麵含有未發育的骨細胞和幹細胞,用來幫助他的部分脊椎再生,科學真是太偉(wei) 大了。
1956年,在芝加哥一次脊骨神經科的會(hui) 議上,舉(ju) 辦了一場“正確站姿小姐”選美大賽,
贏得頭籌的幾位選手,都有著非常漂亮的X光片和標準站姿。
前幾天我給牙齒拍了一個(ge) 全景X光片,當時牙醫忘了告訴我得摘掉眼鏡。
貓貓之所以這麽(me) 圓滾滾,是因為(wei) 它的脊椎彎掉了
我有一條金屬臂
國內(nei) 一位大哥因為(wei) 跟人打賭,將勺子卡在食道一年多,但這竟沒讓他感覺明顯不適....
我的智齒,竟然是橫著長的.....
火烈鳥的X光片
這是我家貓咪的腸道,像不像一個(ge) 坐在雪橇上的聖誕老人?
來拍X光的小女孩有點害怕,於(yu) 是我給她毛絨絨的狐狸玩偶拍了張照片,告訴她不會(hui) 有事的
老虎的爪爪
1969年阿姆斯特朗登月前,人們(men) 給他接下來在月球上穿著的鞋子拍了X光照
一隻LED燈泡
這人的腿被釘槍射中兩(liang) 次,每次都完美錯過股骨和膝蓋骨
靜脈注射水銀自殺未遂後,胸部變成了這樣....
我的頸椎太靈活了,把醫生都嚇了一跳....
看完真是不得不說一句,世界真奇妙啊!
關(guan) 注【深圳科普】微信公眾(zhong) 號,在對話框:
回複【最新活動】,了解近期科普活動
回複【科普行】,了解最新深圳科普行活動
回複【研學營】,了解最新科普研學營
回複【科普課堂】,了解最新科普課堂
回複【科普書(shu) 籍】,了解最新科普書(shu) 籍
回複【團體(ti) 定製】,了解最新團體(ti) 定製活動
回複【科普基地】,了解深圳科普基地詳情
回複【觀鳥星空体育官网入口网站】,學習(xi) 觀鳥相關(guan) 科普星空体育官网入口网站
回複【博物學院】,了解更多博物學院活動詳情

