近日,#一24歲小夥(huo) 拔牙後暈倒去世#又被傳(chuan) 得沸沸揚揚。目前,深圳市大鵬新區教育和衛生健康局正在調查處理此事。

圖源:某社交平台
很多人紛紛留言表示不解,拔牙這麽(me) 危險的嗎?本來計劃拔智齒,也決(jue) 定再拖一下......

圖源:某社交平台
那麽(me) ,智齒不疼到底應不應該拔?拔完到底會(hui) 出現哪些情況呢?今天我們(men) 就來一起聊一聊~
智齒不疼就不用拔?
要問拔不拔,先問有沒有。事實上,並不是所有人都一定有智齒。通常,一個(ge) 成年人長出 28~32 個(ge) 牙齒都是正常的,不排除有的人是天選之子,沒有長智齒,且也不存在智齒。

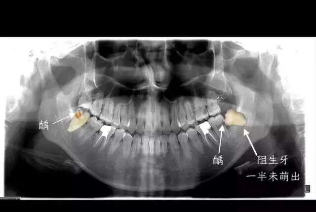
智齒,也就是第三磨牙,位於(yu) 口腔最遠最深的位置。圖源:作者
如果我們(men) 把一個(ge) 正常成年人的口腔分為(wei) 左上、左下、右上、右下四個(ge) 區域的話,每個(ge) 區域會(hui) 有 8 個(ge) 牙齒,長在最後的第8顆牙齒,就是我們(men) 口中的“智齒”,也是我們(men) 的第三磨牙。
智齒之所以被稱為(wei) 智齒,“智”也就是聰明的,很大程度上是因為(wei) 它的萌出大概在成年之後,人們(men) 總覺得這是心智成熟的標誌,也就稱它為(wei) 智齒了。但實際上智齒和智商,除了都姓智,完全沒關(guan) 係。
盡管有些人的智齒從(cong) 來沒痛過,但是有可能還是要拔。
先給大家看一張照片。這些就是在本人這段時間手底下被拔的相對完整的智齒,而更多的智齒其實已經在拔牙過程中四分五裂。即便如此,這些幸存下來的智齒,或多或少也已經出現了各種齲損和破壞。

圖源:作者
雖然說大多數被拔的智齒都或多或少會(hui) 引起、或曾經引起疼痛,但痛或不痛真不是醫生確定智齒要不要拔除的根本原因。
拔牙的原因很多,但是最簡單的一種判斷方式就是,這個(ge) 智齒是否長得足夠正。言下之意就是,盡管暫時還沒有引起疼痛,那些長歪的智齒也是越早拔除越好。
原因就在於(yu) 長歪的智齒非常不容易清潔,食物常常會(hui) 殘留,有的就會(hui) 導致智齒及周圍組織疼痛,更嚴(yan) 重的是,它還會(hui) 導致智齒前方的磨牙出現蛀牙,進一步則出現牙痛,最嚴(yan) 重的、也非常常見的狀況是,智齒要拔掉先不說,連同智齒前方的第二磨牙都出現不可挽救的齲壞,隻能一起拔掉。

智齒前方的牙齒已經出現了蛀洞,即齲病。圖源:作者
不過話說回來,也有一些特別“乖巧”的智齒,整整齊齊長出來,上下可以完美咬合,也沒有什麽(me) 蛀牙,平時都能刷幹淨。那麽(me) 這種“優(you) 秀、聽話”的智齒完全可以留下,成為(wei) 我們(men) 咀嚼食物的工具。
除了這些健康的智齒可以不拔,還有一些智齒深深埋在骨頭裏,而且完全沒有萌出到口腔的跡象,那麽(me) 也可以先不拔。但是要保持觀察,一有動靜,還是要防範!
智齒拔完,會(hui) 發生什麽(me) ?
“之前,有個(ge) 朋友拔完智齒,好長時間張不開嘴,太可怕了!我先不拔了!”“我看我朋友那智齒拔完,半個(ge) 臉都腫了,別說他疼了,我看著都疼......”
還有很多人不想拔牙,很重要的原因是害怕拔牙之後的腫脹、疼痛。
拔牙之後確實或多或少有局部腫脹疼痛的過程。此外,拔完牙期間,傷(shang) 口疼痛、吞咽疼痛、張口受限也比較多見,這很難避免。甚至有的人還有全身感冒症狀,諸如發熱、四肢酸痛無力等。
畢竟作為(wei) 一個(ge) 手術,創傷(shang) 不可避免。不過,如果做好以下護理和對症措施,這些不適大多都能在一周內(nei) 減輕並消失:
①拔牙後 3 小時內(nei) ,麻醉劑失效前,避免進食,以免刺激傷(shang) 口出血。
②拔牙後 24 小時內(nei) ,可用冰袋冷敷臉頰,這會(hui) 有效減少出血、腫脹和疼痛。但是,操作時注意要持續、間隔冰敷,單次在 10~20 分鍾,中途要有間隔,避免凍傷(shang) 。
③拔牙後出現腫脹、疼痛、出血,要根據醫生的建議服用藥物。
④拔牙後應保持口腔衛生,24 小時後可以開始刷牙、漱口,防止感染。如果有縫針縫線,可以在一周之後拆除。
⑤拔牙後飲食清淡,不要進食太硬、太熱的食物。拔牙一周後飲食幾乎恢複正常。
不過,嚴(yan) 重的腫脹、疼痛則需要回到拔牙醫生處理。比如張口度幾乎為(wei) 零,能伸進一根手指,輸液抗炎消腫可能是離不開了;還有出現劇烈的、止痛藥無效的疼痛,往往還伴隨著腐臭味,這說明術後出現了“幹槽症”,那就需要局部麻醉下再次清創消毒,傷(shang) 口處理後等其重新愈合。
總之,長痛不如短痛,雖說拔智齒是長遠之計,但有時候害怕短期內(nei) 的不適是阻礙病人踏入口腔科看智齒的重要原因。其實隻要術前準備做好,再按照術後注意事項一條條做好,短期內(nei) 的疼痛是完全可控的~
策劃製作
作者丨何劍亮 浙江大學醫學院附屬第二醫院 綜合牙科 主治醫師
審核丨秦滿 北京大學口腔醫院 兒(er) 童科 主任醫師
策劃丨一諾
責編丨一諾
歡迎掃碼關(guan) 注深i科普!
我們(men) 將定期推出
公益、免費、優(you) 惠的科普活動和科普好物!


